Book your implant consultation in Harrogate
Personalised solutions for missing teeth
Smile, laugh, eat & drink with confidence
20+ years of experience and over 195 5-star Google reviews
By submitting your details you are agreeing to our privacy policy.

Restore Your Smile with a Premium Dental Implant
Comprehensive care, friendly staff, state-of-the-art treatment.












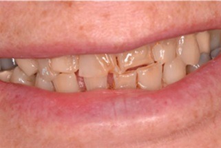
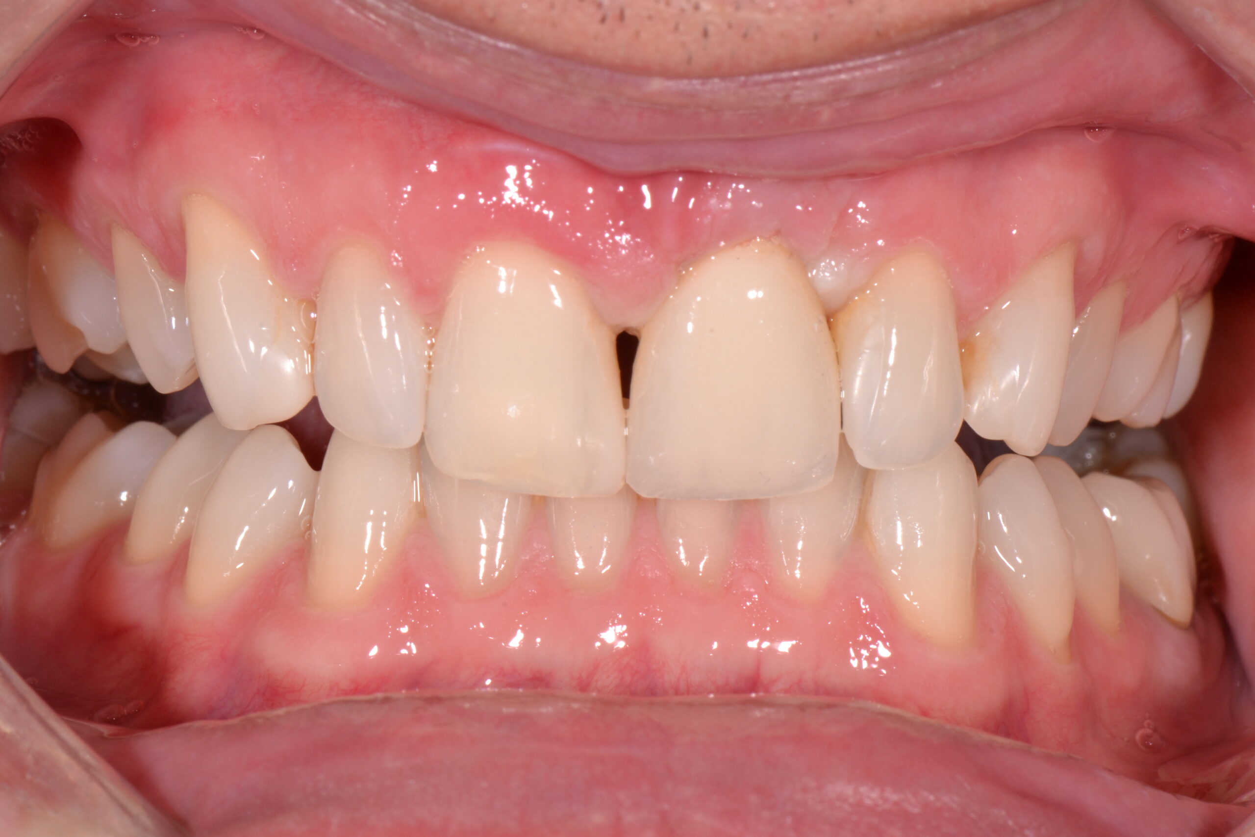
Before and After Results:
See our smiles
These before and after images of dental implants by our amazing dentists.
Rediscover your bite and boost your confidence.
Get in touch today for a free, no-obligation consultation.
Experience world-class tooth replacement
For those who demand lasting quality and confidence, completed in 3 month, a single dental implant brings back your natural bite and radiant smile.
Our dental implant process to get you the smile you deserve.
Step 1
Book a consultation with our experts
Step 2
Create a customised dental plan
Step 3
Start treatment when you're ready
Step 4
Smile with confidence. Enjoy pain-free dental health
Join 190+ patients who rated us 4.8* on Google, and see why 6 dozen glowing testimonials and dramatic before-&-after photos – prove our expertise.
LET’S TALK
Opening hours
Monday: 9am – 5pm
Tuesday: 8am – 5pm
Wednesday: 8am – 5pm
Thursday: 8am – 4pm
Friday: 8am – 4pm
Saturday: Closed
Sunday: Closed
