

Achieve the Perfect Smile With Dental Bonding
Experience the confidence that comes with a bright, even smile at Chatsworth Dental. This treatment is tailored to your individual needs, ensuring that the results perfectly match your natural teeth. Our friendly and professional team is dedicated to making your visit as comfortable and stress-free as possible, using the latest techniques and materials to deliver outstanding results. Don’t wait to achieve the smile you’ve always wanted – contact us now to start composite bonding in Harrogate today.
What is Composite Bonding?
It involves applying a tooth-coloured resin material to your teeth, which is then sculpted and polished to blend seamlessly with your natural teeth. This minimally invasive procedure can often be completed in just one visit, making it a convenient option for those looking to improve their smile without extensive dental work.
Dental Bonding
Enhance your smile with our treatments, designed to fix minor imperfections.
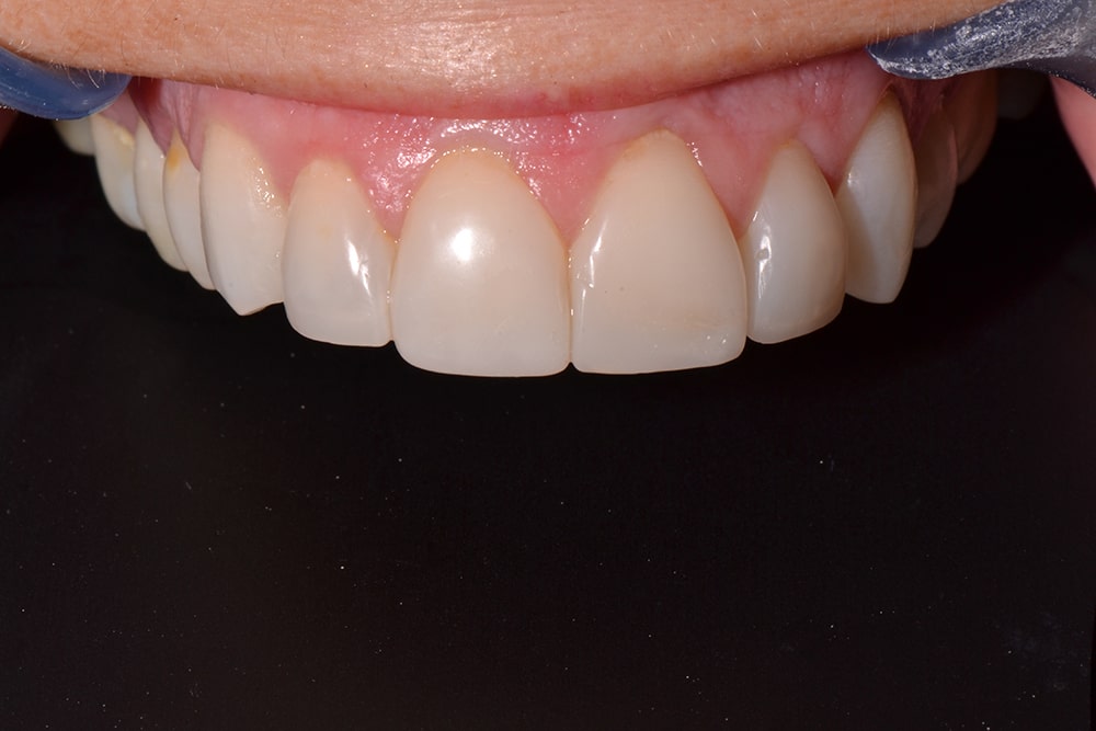
Natural Looking Teeth
Achieve a seamless smile with our natural-looking bonding that blends perfectly with your teeth.
Quick and Effective
Transform your smile in just one visit with our quick and effective procedures.
Boost Your Confidence
An improved, brighter smile can dramatically boost your confidence and enhance your overall appearance.






The Composite Bonding Process
Step 1
Get in touch with our experts
Step 2
We will create a customised plan
Step 3
Treatment begins when you choose
Step 4
Achieve the perfect smile

The Benefits of Cosmetic Bonding
- Quick and Painless - this treatment is a minimally invasive procedure that typically requires just one visit to the dentist. The process is usually painless and doesn't require anesthesia, making it a convenient option for many patients.
- Cost-Effective - Compared to other cosmetic dental treatments, composite bonding is relatively affordable. It provides excellent results at a fraction of the cost of veneers or crowns.
- Immediate Results - One of the most appealing aspects of it is the immediate improvement in the appearance of your teeth. You can walk out of the dental office with a transformed smile after just one appointment.
- Durable and Long-Lasting - With proper care, composite bonds can last for several years. They are resistant to stains and durable enough to withstand normal biting and chewing forces.
It typically lasts between 5 to 10 years. The longevity of depends on several factors including the location of the bonded teeth, the patient’s oral hygiene practices, and habits such as teeth grinding or biting on hard objects. Regular dental check-ups and proper care can help extend the life of the bonding. For optimal results, it’s important to follow your dentist’s recommendations for maintenance and avoid activities that could damage the bonded teeth.
Ideal candidates for composite bonding include individuals with minor dental imperfections such as chipped, cracked, or discoloured teeth. It is also suitable for those looking to close small gaps between teeth or alter the shape of a tooth.
The dentist will start by selecting a composite resin color that matches your natural teeth. The surface of the tooth will then be prepared by roughening it and applying a conditioning liquid. The composite resin is then applied, shaped, and hardened with a special light. Finally, the bonded tooth is polished to match the sheen of the rest of your teeth.
Composite bonding itself cannot be whitened using traditional teeth whitening methods. The materials used do not respond to the whitening agents that bleach natural tooth enamel. If your composite bonded teeth have become discoloured or if you want to match the colour to newly whitened teeth, the existing composite bonding material will need to be replaced.
Composite bonding is a cosmetic dental procedure that uses a tooth-coloured resin to repair and enhance the appearance of teeth. The resin is applied to the teeth and then shaped and polished to match the surrounding teeth, resulting in a natural and aesthetically pleasing appearance. Here are some of the key benefits and functions:
1. Repairs Damage: It can fix minor chips, cracks, and fractures in teeth, restoring their integrity and functionality.
2. Closes Gaps: It can be used to close small gaps between teeth, providing a more uniform and attractive smile.
3. Covers Discoloration: The resin can cover stains and discolorations that do not respond to traditional whitening treatments.
4. Reshapes Teeth: Composite bonding can reshape teeth that are too small, uneven, or oddly shaped, creating a more balanced look.
5. Protects Roots: It can cover and protect exposed roots caused by gum recession, reducing sensitivity and preventing further damage.
6. Quick and Minimally Invasive: The procedure is typically quick, often completed in a single visit, and requires minimal removal of the natural tooth structure.
This treatment is a versatile and effective solution for enhancing the appearance of your teeth and improving your overall smile.
Composite bonding is usually a painless procedure. In most cases, anesthesia is not required unless the bonding is being used to fill a cavity. Patients may experience some sensitivity after the procedure, but this usually subsides within a few days.
Yes, composite bonding can be removed or replaced if needed. This might be necessary if the bonding material becomes chipped, worn, or discolored. The removal process is generally straightforward and does not harm the natural tooth structure.
Care for composite-bonded teeth is similar to caring for natural teeth: brush twice a day, floss daily, and visit your dentist regularly for check-ups. Avoid biting on hard objects (like ice or pen caps) and minimise consumption of stain-causing foods and drinks (like coffee, red wine, and tea) to maintain the appearance of the bonding.
Expert Dentists
A professional and welcoming dental practice providing composite bonding in Harrogate and offering a comprehensive range of treatments.
