Porcelain Veneers Harrogate
Transform Your Smile
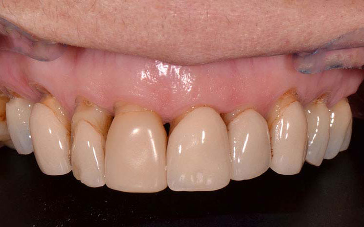
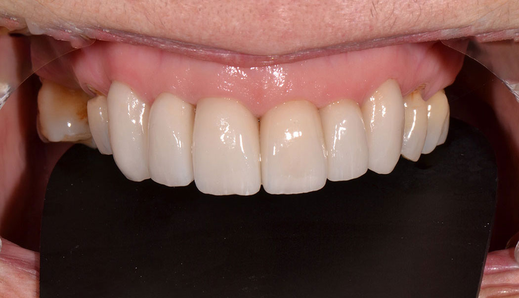
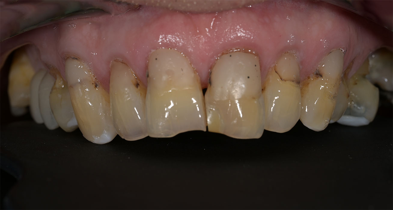
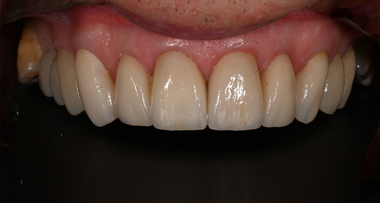
At Chatsworth House Dental Clinic, we understand that your smile is one of your most valuable assets. A beautiful, confident smile can enhance your self-esteem, improve your social interactions, and even open doors to new opportunities. If you’re unhappy with your smile, our comprehensive Smile Makeovers in Harrogate could be the perfect solution to help you achieve the smile of your dreams.
What is a Smile Makeover?
A Smile Makeover is a personalised treatment plan designed to address all aspects of your smile, from teeth whitening and straightening to repairing chips, gaps, or uneven teeth. Every makeover is tailored to your unique needs and aesthetic goals, ensuring you achieve a smile that not only looks beautiful but also feels natural and healthy.

Implant Solutions
Dental Implants
Long-Lasting
Enhance Your Smile
Implant Solutions
- Teeth Whitening: Brighten your smile with professional whitening treatments that deliver stunning, long-lasting results.
- Dental Veneers: Cover imperfections and enhance the shape, size, and color of your teeth with custom-made veneers.
- Orthodontics: Straighten crooked or misaligned teeth with discreet options like Invisalign or traditional braces.
- Composite Bonding: Repair chips, cracks, or gaps in your teeth with this minimally invasive procedure that restores your smile’s appearance.
- Gum Contouring: Achieve a balanced, symmetrical smile by reshaping your gum line.
Our Simple Process to Get you the Smile you Deserve.
Step 1
Consultation
Step 1
Consultation
Step 2
Get your new teeth
Step 2
Get your new teeth
Step 3
Enjoy Life
Step 3
Enjoy Life
Frequently Asked Questions
What is a smile makeover?
Who is a good candidate for a smile makeover?
What procedures are typically involved in a smile makeover?
A smile makeover can include a variety of procedures such as:
- Teeth Whitening: To brighten discolored teeth.
- Veneers: To cover imperfections and create a uniform appearance.
- Crowns or Bridges: To restore damaged or missing teeth.
- Orthodontics: Such as braces or clear aligners to straighten teeth.
- Composite Bonding: To repair chips or gaps.
How long does this treatment take?
What are the benefits of a smile makeover?
Porcelain Veneers Harrogate
If you are looking for the best dental practice with a caring, personal touch, provided by a team who genuinely cares for your needs, then this is the right dental clinic for you.
Chatsworth House Dental Clinic
85 King’s Road, Harrogate, HG1 5HP
Opening Hours
- Monday: 9am – 5pm
- Tuesday: 8am – 5pm
- Wednesday: 8am – 5pm
- Thursday: 8am – 4pm
- Friday: 8am – 4pm
- Saturday: Closed
- Sunday: Closed