Full Mouth Dental Implants Harrogate
Create your perfect smile with dental implants
Our dedicated dental implant team in Harrogate are committed to delivering exceptional results and ensuring satisfaction to our patients. From your initial consultation to the final placement, we guide you through every step of the process with care and precision. We understand that each patient’s situation is unique, which is why we take the time to create a customised treatment plan that addresses your individual concerns and goals. Our compassionate approach ensures that you feel comfortable and informed throughout your journey.
What are Dental Implants?

Implant Solutions
Dental Implants
Achieve a seamless smile with our natural-looking bonding that blends perfectly with your teeth.
Long-Lasting
Enhance Your Smile
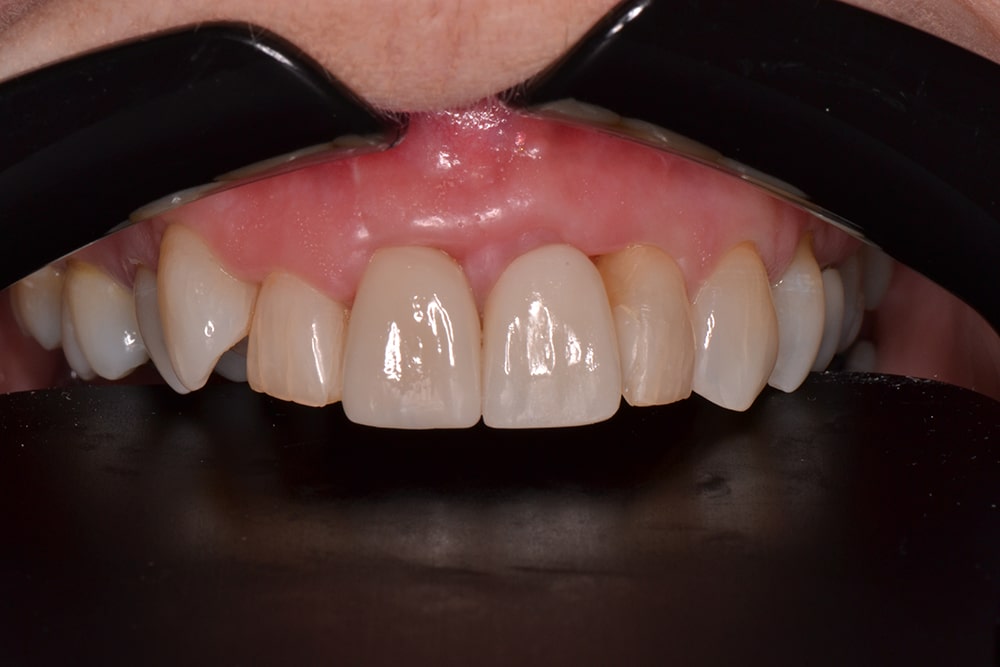
Achieve a confident and attractive smile with implants, which provide a reliable and aesthetically pleasing replacement for missing teeth.
Our Simple Process to Get you the Smile you Deserve.
Step 1
Consultation
Step 1
Consultation
Step 2
Get your new teeth
Step 2
Get your new teeth
Step 3
Enjoy Life
Step 3
Enjoy Life
Frequently Asked Questions
What are dental implants and how do they work?
Who is a good candidate for this treatment?
How long do dental implants last?
With proper care, dental implants can last a lifetime. The crowns or other prosthetic teeth attached to the implants may need to be replaced after 10-15 years due to normal wear and tear, but the implant itself, which is integrated into the jawbone, is designed to be a permanent solution. Our experts will provide you with aftercare and advice after your dental implant procedure in Harrogate.
Is the procedure painful?
How long does the dental implant process take?
How do I care for my implants?
Caring for dental implants is similar to caring for natural teeth: brush twice a day, floss daily, and visit your dentist regularly for check-ups and cleanings. Maintaining good oral hygiene is essential to prevent gum disease and ensure the long-term success of the implant.
Do dental implants look and feel like natural teeth?
Dental implants are designed to closely replicate the appearance and function of natural teeth. While individual experiences vary, implants are fixed in place and do not move like dentures, allowing most patients to speak, eat and smile with confidence once healing is complete.
Full Mouth Dental Implants in Harrogate
Designed for durability and confidence, full-mouth dental implants rebuild your natural bite and bring back a bright, confident smile — in as little as ONE day.
Chatsworth House Dental Clinic
85 King’s Road, Harrogate, HG1 5HP
Opening Hours
- Monday: 9am – 5pm
- Tuesday: 8am – 5pm
- Wednesday: 8am – 5pm
- Thursday: 8am – 4pm
- Friday: 8am – 4pm
- Saturday: Closed
- Sunday: Closed